Uncut Roux-en-Y reconstruction after totally laparoscopic distal gastrectomy with D2 lymph node dissection for early stage gastric cancer
Introduction
Intracorporeal uncut Roux-en-Y anastomosis is the most difficult procedure during distal gastrectomy. We successfully performed totally laparoscopic distal gastrectomy (TLDG) uncut Roux-en-Y gastrojejunostomies. Here we describe our technique.
Methods
Patient selection and workup
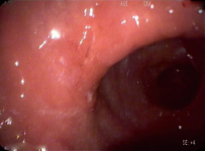
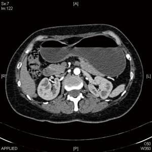
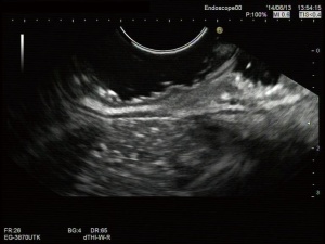
Early stage gastric cancer patients are fit for totally laparoscopic uncut Roux-en-Y gastrojejunostomy after distal gastrectomy. In the present video (Figure 1), the patient is a 61 years old woman who was diagnosed moderately differentiated adenocarcinoma of antrum by gastroscopy and histological test (Figure 2). The tumor stage was assessed to be cT1N0M0 by CT scan preoperation and EUS (Figures 3,4).
Pre-operative preparation
Before the day of the operation, endoscopy was performed again in order to confirm the exact location of the tumorand we marked the location of the tumor with nano carbon on the gastric wall.
Equipment preference card
Olympus OVT-s190. EC60A: Ethicon, Cincinnati, OH, USA. NK ATS45NK: linear cutter without a knife; Ethicon, Cincinnati, OH, USA.
Procedure
Under general anesthesia, the patient was placed horizontal position with legs apart. A 20° head-up tilt was applied. The surgeon was positioned on the left side of the patient, with the camera operator between the legs and the first assistant on the right side of the patient. An 12-mm trocar for a 30° camera was inserted below the umbilicus, the other four trocars then were inserted: three 12-mm trocars into the right and left midabdomen and left upper abdomen, and one 5-mm trocar into the right. After D2 lymph nodes dissection, duodenal transection was performed with a linear stapler (Ethicon Endo-Surgery, Cincinnati, OH, USA). The stomach was resected by two firings of a linear stapler, and the resected specimen was placed in a plastic bag. The specimen was then extracted from the abdomen through the trocar about 4 cm in size around the umbilicus (Figure 5).
In intracorporeal reconstruction, gastrojejunostomy was performed at a point 40 cm distal to the Teritz ligament. The enterotomy for insertion of the linear stapler was made on the afferent loop. A Braun anastomosis was performed using a linear stapler 20 cm distal to the gastrojejunostomy. In-continuity stapling with a blue cartridge on a no-knife linear stapler (Ethicon EndSurgery, Cincinnati, OH, USA) was performed on the afferent loop below 10 cm of the gastrojejunostomy.
Post-operative management
Antibiotic prophylaxis for 3 days post-operative. Drink liquid diet from 3 days post-operative.
Tips, tricks and pitfalls
In intracorporeal gastrojejunostomy must be performed through the right-lower trocar.
In intracorporeal gastrojejunostomy, the enterotomy for insertion of the linear stapler must be made on the afferent loop. If be made on the efferent loop, can cause stricture of the efferent loop when closing the common entry hole.
Results
It took about 190 min to finish the whole operation with bleeding of about 40 mL. The pathology outcome after the surgery show it the moderately differentiated adenocarcinoma staging T1N0M0 with 0/36 lymph nodes positive. The patient recovered well postoperation and discharged from hospital without any significant complication on the 7th day.
Discussion
The Roux-en-Y gastrojejunostomy is currently considered a valid reconstruction method after distal gastrectomy for gastric cancer (2,3). Roux Stasis Syndrome is a well-known complication after Roux-en-Y reconstruction (4). This syndrome is due to motor incoordination in the intestinal folds, originating from ectopic pacemakers, because the intestine is isolated from its natural pacemakers located in the duodenum, which produces a reflux towards the gastric stump (5). Uncut Roux-en-Y technique, would preserve unidirectional intestinal myoelectrical activity and diminish Roux Stasis Syndrome (6).
Totally laparoscopic gastrectomy (TLG) has been proved to be safe and effective (7). It has so many advantages associated with TLG. In TLG, the whole anastomotic procedure can be clearly viewed, so such tension and injuries can be obviated, especially in an obese patient (8). However, the disadvantages of TLG include it is difficult in intraoperative localization of the tumor, and additional costs for using many linear stapler cartridges. Early gastric cancer is not visible or palpable from outside of the stomach, which makes the localization of the tumor very difficult during TLG. We overcame this problem by having endoscopy before the day of the operation again in order to confirm the exact location of the tumor and we marked the location of the tumor with nano carbon on the gastric wall. Most important one is intracorporeal uncut Roux-en-Y anastomosis is the most difficult procedure during distal gastrectomy. It should be on the base of rich experiences of laparoscopy surgical techniques. It had better be performed by the experienced surgeon.
Conclusions
In conclusion, TLDG with intracorporeal uncut Roux-en-Y anastomosis using laparoscopic linear staplers was found to be safe and feasible. We consider that our operation may represent the best option for reconstructions after laparoscopic distal gastrectomy.
Acknowledgements
Funding: National Natural Science Foundation of China, No. 81272726; Specialized Research Fund for the Doctoral Program of Higher Education, China, No. 20110071120097.
Footnote
Conflicts of Interest: The authors have no conflicts of interest to declare.
Ethical Statement: The study was approved by the institutional ethical committee. Written informed consent was obtained from the patient. A copy of the written consent is available for review by the Editor-in-Chief of this journal.
References
- Huang H, Long Z, Xuan Y. Uncut Roux-en-Y reconstruction after totally laparoscopic distal gastrectomy with D2 lymph node dissection for early stage gastric cancer. Asvide 2016;3:001. Available online: http://www.asvide.com/articles/752
- Vogel SB, Hocking MP, Woodward ER. Clinical and radionuclide evaluation of Roux-Y diversion for postgastrectomy dumping. Am J Surg 1988;155:57-62. [PubMed]
- Karlstrom L, Kelly KA. Roux-Y gastrectomy for chronic gastric atony. Am J Surg 1989;157:44-9. [PubMed]
- Van Stiegmann G, Goff JS. An alternative to Roux-en-Y for treatment of bile reflux gastritis. Surg Gynecol Obstet 1988;166:69-70. [PubMed]
- Morrison P, Miedema BW, Kohler L, et al. Electrical dysrhythmias in the Roux jejunal limb: cause and treatment. Am J Surg 1990;160:252-6. [PubMed]
- Noh SM. Improvement of the Roux limb function using a new type of "uncut Roux" limb. Am J Surg 2000;180:37-40. [PubMed]
- Kim JJ, Song KY, Chin HM, et al. Totally laparoscopic gastrectomy with various types of intracorporeal anastomosis using laparoscopic linear staplers: preliminary experience. Surg Endosc 2008;22:436-42. [PubMed]
- Uyama I, Sakurai Y, Komori Y, et al. Laparoscopy-assisted uncut Roux-en-Y operation after distal gastrectomy for gastric cancer. Gastric Cancer 2005;8:253-7. [PubMed]
Cite this article as: Huang H, Long Z, Xuan Y. Uncut Roux-en-Y reconstruction after totally laparoscopic distal gastrectomy with D2 lymph node dissection for early stage gastric cancer. J Vis Surg 2016;2:6.





